Bruce Willis: ¿Qué enfermedad padece y por qué su cerebro será donado a la ciencia?
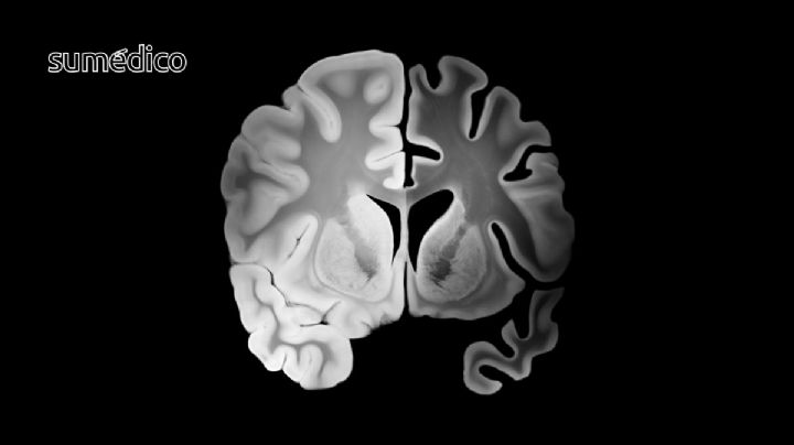
28/11/2025 | El cerebro de bruce Willis será donado a la ciencia una vez que el actor muera, ya que padece una enfermedad neurodegenerativa
28/11/2025 | El cerebro de bruce Willis será donado a la ciencia una vez que el actor muera, ya que padece una enfermedad neurodegenerativa
15/11/2025 | Un estudio revela la cantidad exacta de pasos que reduce la acumulación de proteínas tóxicas en el cerebro y frena el deterioro cognitivo en personas con riesgo de Alzheimer
19/9/2025 | El 60% de las demencias son Alzheimer, según datos de la OMS
17/9/2025 | El Dr. Edilberto Peña habla sobre el Día Mundial de la Enfermedad de Alzheimer
10/9/2025 | El chequeo de la vista puede ser una herramienta para detectar signos tempranos de Alzheimer
1/9/2025 | Un estudio reveló un hallazgo que cambia la perspectiva: la deficiencia de litio en el cerebro podría ser un factor temprano y relevante en el desarrollo de la enfermedad de Alzheimer | Dr. Edilberto Peña
22/8/2025 | La deficiencia de este nutriente está relacionada con un mayor deterioro cognitivo en mujeres
7/8/2025 | Una investigación científica demostró que la deficiencia del elemento impulsa la enfermedad neuronal
4/8/2025 | El Alzheimer es una enfermedad neurodegenerativa que afecta la memoria
22/7/2025 | Las alucinaciones en personas mayores pueden ser un signo de enfermedades neurológicas, efectos secundarios de medicamentos o alteraciones sensoriales
7/7/2025 | La fisioterapia respiratoria es un enfoque multidisciplinario
4/7/2025 | La enfermedad de Alzheimer es un trastorno cerebral progresivo que destruye lentamente la memoria y la capacidad de pensar, y eventualmente, la habilidad para llevar a cabo las tareas básicas
12/6/2025 | Hay una dieta que combina lo mejor de la dieta mediterránea y DASH para proteger el cerebro. Conoce los alimentos que la componen, sus beneficios y cómo puede ayudarte a prevenir enfermedades neurodegenerativas
27/5/2025 | Estudios destacan que consumir diariamente este alimento puede mejorar la memoria en adultos mayores. Descubre cómo beneficia la salud cerebral y cómo incorporarlo a tu dieta fácilmente
15/5/2025 | Un sencillo test de un minuto puede ayudar a detectar señales tempranas de deterioro cognitivo, facilitando una intervención oportuna en casos de Alzheimer